240 W Indiantown Rd Suite 102, Jupiter, FL 33458
TOP RATED in JUPITER, FL
5,000+ Happy Patients

Limited Offer: Complimentary Consultation, X-Rays & 3D Scans (Worth $500+)

Transform Your Life with Full Mouth Dental Implants

Smile, eat, and live with confidence again. Dr. Andrea Diaz has helped patients across Florida restore their smiles with permanent, natural-looking full mouth dental implants — with same-day treatment options available

From Struggling to Smile To Living Life Fully Again

Watch inspiring stories of renewed smiles and renewed lives.

Meet Dr. Andrea Diaz

Born and raised in Guatemala, Dr. Diaz brings a deep love for helping others to her dental practice in Jupiter. Her passion for science and serving the community led her to pursue dentistry, a perfect blend of these two interests. After completing the ESL program at Pikes Peak Community College in Colorado, Dr. Diaz went on to earn a Biology degree with Cum Laude honors at the University of Colorado Colorado Springs. Colorado’s breathtaking landscapes fostered a love for the outdoors, where Dr. Diaz spent 14 years enjoying snowboarding, hiking, and mountain biking. A pre-dental volunteer experience in Guatemala as a dental assistant revealed the profound impact dentistry can have on people’s lives, solidifying Dr. Diaz’s career path. In 2015, she earned her Doctor of Dental Medicine degree at Southern Illinois University at Alton. Following this, Dr. Diaz practiced general dentistry for four years in Aventura, FL, before opening her own practice in Jupiter. Dr. Diaz’s mission is to provide exceptional dental care with a personalized touch. Her passion lies in creating beautiful smiles, promoting strong oral health, and ultimately, improving patients’ overall well-being.

Beyond dentistry, Dr. Diaz enjoys an active lifestyle filled with hiking, swimming, biking, dancing, and exploring the stunning Florida beaches.

Implant Solutions Tailored to Your Smile

Using advanced technology, we create natural-looking teeth that feel secure and function for years to come.

All-on-4 Dental Implants
(PMMA)

Starting From $12,999/Arch

Implant-Supported Overdentures

Starting From $7,995

All-on-4 Dental Implants
w/Zirconia​

Starting From $15,999/Arch

Experience the Attune Dentistry Advantage

Attune Dentistry Other Offices in FL
✅ Offers full-implant services including All-on-4®, All-on-6® & guided implant surgery
❌ May only provide standard, limited implant treatments.
✅ Certified in digital tech: CBCT, digital impressions, intraoral cameras
❌ Less high-tech imaging and workflow.
✅ Adds cosmetic & aesthetic services (Botox®, dermal fillers) for comprehensive facial-smile care
❌ Most offices focus only on dental implants without wider cosmetic integration
✅ Providers sleep-apnea & TMJ related appliance care (oral appliance therapy)
❌ These adjunctive services often not available
✅ Spanish-speaking, community-oriented; mission/volunteer background
❌ Less multilingual or community service emphasis
✅ Continues education & advanced certifications (Invisalign®, DreamSleep®, aesthetic certs)
❌ Fewer advanced certifications or continuing education listed
✅ Full-scope care under one roof: preventive, restorative, implants, cosmetic & sedation options
❌ Often fragmented care; implants may require referral elsewhere

Your Journey to a New Smile

A proven process combining world-class expertise with personalized, compassionate care.

01

Meet Dr. Diaz & Receive

Your Complimentary 3D Scan

Your journey begins right here in Attune Dentistry with a personal consultation from Dr. Andrea Diaz— one of the nation’s top 1% implant specialists. During your visit, we’ll provide a comprehensive dental physical exam, digital X-rays, and 3D imaging (a $500 value, free) so you understand your unique needs and options from the very start.

02

A Personalized Plan

Designed Around You

No two smiles or patients are alike. With over 20 years of implant experience and advanced planning technology, Dr. Diaz crafts a treatment plan tailored to your health, goals, and budget. You’ll know exactly what to expect, every step of the way.

03

Transform Your Smile

In Just 1–2 Days

Patients leave our office with a brand-new, fully functional smile in as little as one to two days. Whether you choose implant-retained dentures, an implant bridge, or our advanced All-on-4/6 solution, your results are designed to look natural, feel comfortable, and restore lasting confidence.

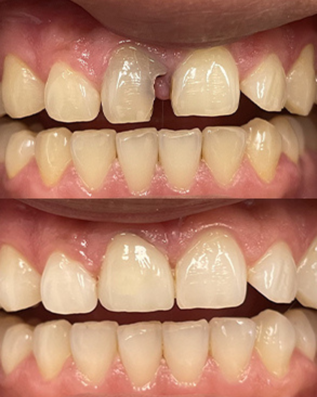
Life-Changing Results

A proven approach shaped by experience and success

Top 5 FAQs for Attune Dentistry

At Attune Dentistry, many patients receive fully functioning teeth in just 1–2 days with our Teeth-in-a-Day treatment. Dr. Andrea Diaz uses advanced 3D technology to plan and deliver same-day results that are strong, natural, and long-lasting.

Dr. Andrea Diaz is among the top 1% of implant specialists nationwide, with 20+ years of experience and elite credentials. Unlike general dentists who occasionally place implants, our practice is dedicated to full mouth restoration and advanced implant care.

Most patients are pleasantly surprised at how comfortable the experience is. With modern sedation, gentle techniques, and Dr. Diaz’s expertise, discomfort is kept to a minimum — and recovery is often faster than expected.

Every smile is unique, so costs vary depending on your treatment plan. That’s why we offer a complimentary consultation with X-rays & 3D scans (a $500 value). You’ll get a clear, personalized treatment plan and affordable financing options before starting.

Absolutely. Each implant restoration is custom-designed to fit your face, bite, and smile goals. Patients often say their implants look so natural that friends and family can’t tell the difference — and they can finally eat, laugh, and smile with confidence again.

Contact Us

Copyright © 2026 Attune Dentistry | All rights reserved.